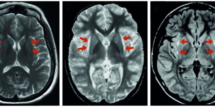
Um novo artigo de revisão, publicado na revista Brain , mostrou que uma região mal compreendida do cérebro chamada claustrum pode desempenhar um papel importante na forma como experimentamos a dor. Uma colaboração de grupos de pesquisa da Universidade de Oxford do Departamento de Fisiologia, Anatomia e Genética (DPAG), o Departamento Nuffield de Neurociências Clínicas (NDCN) e Psicologia Experimental (EP) descobriu novas pistas sobre a função de um dos mais densamente interconectados, ainda que raramente estudadas, áreas do cérebro.
Os pesquisadores revisaram estudos de pacientes com lesões no claustro, que embora raros apresentam déficits cognitivos e convulsões. Além disso, a falta de foco clínico no claustro pode significar que há muitos outros casos ainda a serem descobertos.
Eles também descobriram uma ligação subestimada entre o claustro e a dor. Já se sabe que existem ligações entre o claustro e a percepção, a saliência e o ciclo sono-vigília, mas esta é a primeira vez que uma equipe de pesquisa mostra como o claustro pode estar mais envolvido na experiência debilitante da dor.
Dr Adam Packer , o principal autor do estudo, disse: “O problema em entender como o claustro funciona é que ele está profundamente dentro do cérebro, e os danos específicos a ele são uma ocorrência muito rara. O que torna mais difícil descobrir o que o claustrum realmente faz é que essas ocorrências raras também estão ligadas a uma ampla gama de sintomas.
“Claramente, quando o claustrum é danificado, os efeitos são graves e terapias melhores são urgentemente necessárias. É possível que o dano do claustro seja mais comum do que percebemos atualmente, e pode ser um componente crucial em muitos outros casos de danos cerebrais.
“Este trabalho é importante porque nos dá algumas dicas sobre os processos cognitivos e neurológicos nos quais o claustro pode estar envolvido e nos dá alvos a serem perseguidos na pesquisa básica no laboratório.”
Os pesquisadores encontraram vários casos registrados de infecção, autoimune ou outro processo que atacou o claustro em particular e, analisando os resultados desses estudos e outros, os sintomas mais comuns nos pacientes foram comprometimento cognitivo e convulsões.
Mais trabalho é necessário para entender melhor o claustro e entender melhor o impacto do dano ao claustro, o que pode mudar as diretrizes clínicas.
A equipe multidisciplinar incluiu três primeiros autores Dr Huriye Atilgan, Dr Max Doody (DPAG), Dr David Oliver (Universidade de Toronto), Professor Vladyslav Vyazovskiy (DPAG’s sleep PI), Dr Adam Packer, Professor Irene Tracey (FMRIB e NDCN), e Professor Associado Sanjay Manohar (EP e NDCN).
Mais informações sobre a pesquisa, incluindo uma entrevista em vídeo com o Dr. Adam Packer, podem ser encontradas aqui. O artigo completo, ‘ Lesões humanas e estudos com animais ligam o claustrum à percepção, saliência, dor e sono ‘, foi publicado na revista Brain .


Redação Vida & Tal
Fonte: Universidade de Oxford.








