O cérebro e a forma como percebemos a dor
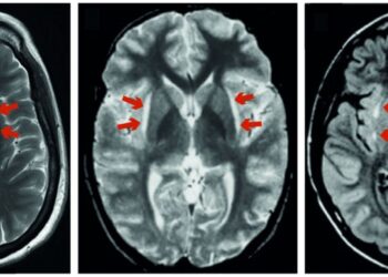
Um novo artigo de revisão, publicado na revista Brain , mostrou que uma região mal compreendida do cérebro chamada claustrum pode desempenhar ...
Um novo artigo de revisão, publicado na revista Brain , mostrou que uma região mal compreendida do cérebro chamada claustrum pode desempenhar ...
No Portal Vida & Tal você fica sabendo o que acontece no Brasil e no mundo com matérias e entrevistas exclusivas sobre saúde, bem estar físico e mental, além de beleza e estética.
CNPJ 33.149.011/0001-97
© 2020 Vida & Tal. Todos os direitos reservados.